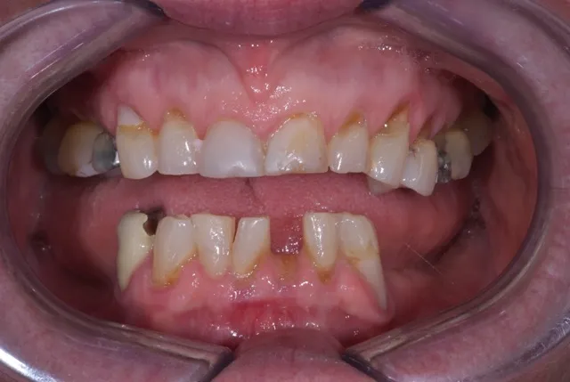
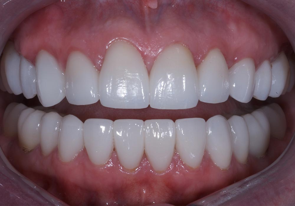
Smile Transformation
A new smile can transform your appearance and your life. We love to give our patients a beautiful smile they’ll be proud to share with the world.
Get In Touch
We can’t wait to meet you! Call our office at 605.341.4521 or click below to schedule an appointment.




























